
Neurones, les intelligences simulées
Mutations/Créations
Deep learning, machine learning, algorithme, réseau de neurones, data mining... L’intelligence artificielle ou la capacité à simuler l'intelligence humaine a investi aujourd'hui presque tous les domaines de notre société. Pourtant son histoire est peu connue. En croisant celle des neurosciences et de la neuro-computation avec l'histoire de l'art, la publication "Neurones, les intelligences simulées" dévoile un récit singulier, entre recherche et création. Ouvrage sous la direction de Frédéric Migayrou et Camille Lenglois.
Résumé
De l'intelligence artificielle
Les notions de « deep learning », de « machine learning » définissent aujourd’hui l’intelligence artificielle (IA) comme un nouveau paradigme établi aussi bien dans le domaine industriel, économique, militaire ou sociopolitique, que dans nos vies quotidiennes. Pourtant cette histoire n’a jamais été véritablement mise en relation avec celle des neurosciences et de la neuro-computation. « Objet cerveau », « Intelligence des jeux », « Cyber-zoo », « Extended Minds », « Deep Learning - Arbres et réseaux neuronaux »... La redéfinition des notions liées à l'IA nous permet de mieux comprendre le développement continu des recherches sur la simulation de l’intelligence humaine et son interaction permanente avec les domaines de la science et de la création.
Archéologies neuronales
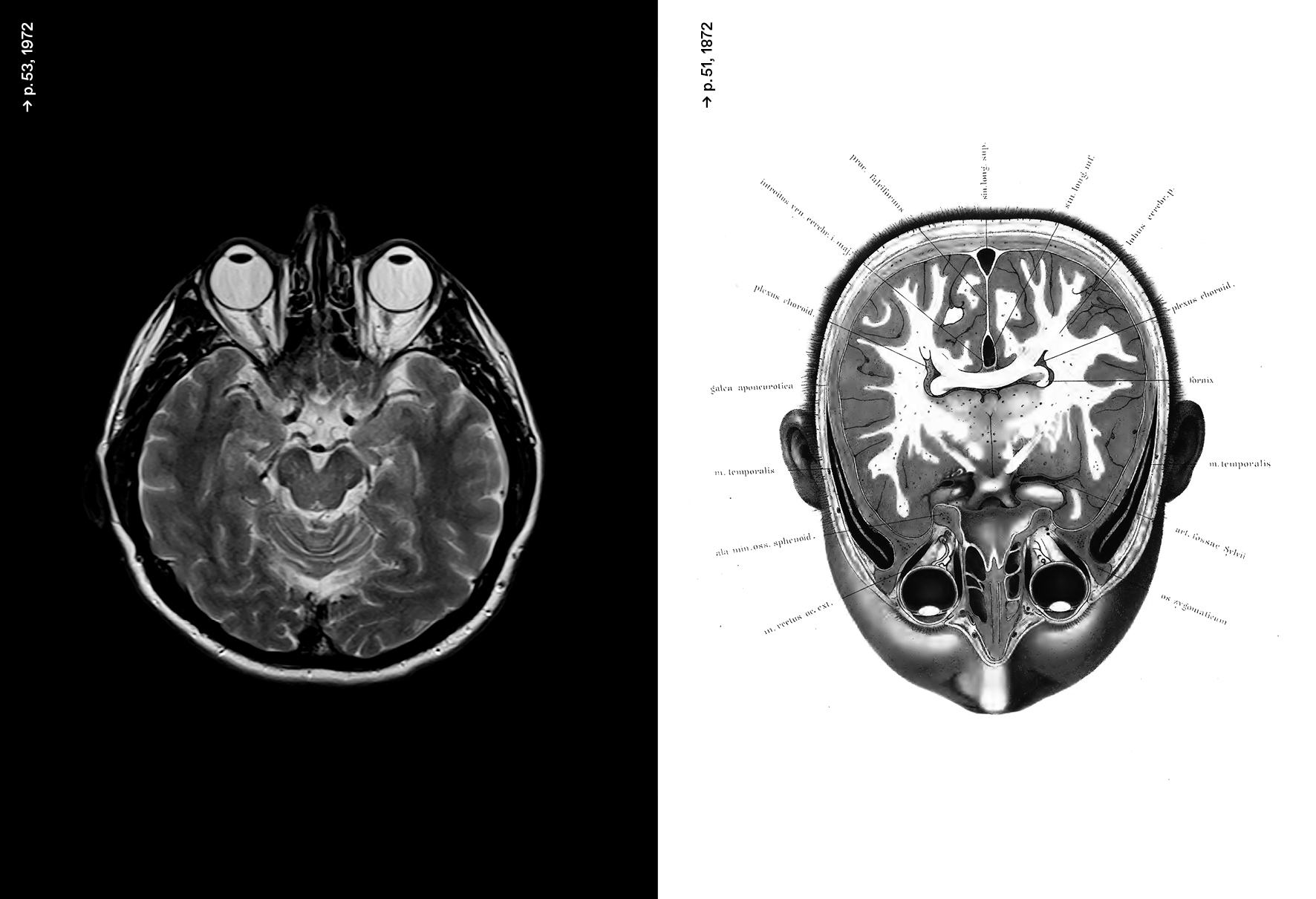
Les différentes thématiques sont organisées autour de graphes. Les visualisations de données accompagnées d’essais proposent une lecture originale de l’IA. Ainsi, dans Corrélations, les intelligences simulées, Frédéric Migayrou nous présente l’histoire des recherches et des concepts qui déterminent aujourd’hui les enjeux de ces intelligences simulées. Un cerveau plastique de Camille Lenglois propose un panorama des créations contemporaines liées à ces thématiques. L'historien de l'art Pascal Rousseau avec Court-circuit, les neurones psychédéliques retrace les multiples expériences sensorielles du mouvement psychédélique. Les philosophes Pierre Cassou-Noguès (Pourquoi des tortues?) et Daniel Parrochia (Arboresences, graphes, réseaux, algorithmes) abordent les enjeux politiques et épistémologiques de l'IA.
Retour vers le futur
Les œuvres et travaux d’une quarantaine de créateurs (artistes, architectes, ingénieurs ou scientifiques) ouvrent de nouvelles perspectives sur l’usage massif des datas, initiant une approche inédite des processus de création, et imposant une vision critique des champs d’applications ouverts par l’intelligence artificielle. Une bibliographie de plus de 300 références complète la publication.
Code et design graphique
Après trois éditions consacrées à l’impression 3D (Imprimer le monde, 2017), aux langages informatiques (Coder le monde, 2018) et aux biotechnologies (La Fabrique du vivant, 2019), les Éditions HYX et le Centre Pompidou poursuivent leur collaboration sur le code et la création avec Neurones, les intelligences simulées. Les Éditions HYX ont conçu avec les graphistes E+K, les publications comme une collection qui souligne les nouvelles relations entre le design graphique et la programmation informatique.

Erratum : Une malencontreuse erreur s’est produite dans l’édition du catalogue Neurones, les intelligences simulées p. 186. Le texte consacré à la compositrice américaine Erin Elizabeth Gee, dite Erin Gee, mentionne des oeuvres et fait référence au travail de l’artiste canadienne Erin Gee. Vous trouverez la page corrigée ci-dessus, dans les extraits et les ressources ainsi que le lien vous permettant de découvrir le travail de l’artiste canadienne autour du son, des nouveaux médias et de la composition musicale qui articule les matériaux du corps humain et de la voix grâce à des technologies interactives et émergentes. Les Éditions HYX présentent leurs plus sincères excuses à l'artiste canadienne Erin Gee, au centre d'arts numériques de Montréal perte de signal et à son directeur général et artistique Robin Dupuis, et invitent les lecteurs à imprimer la nouvelle page sur notre site et à l'insérer dans l'ouvrage.
Sommaire
Informations
- 24,00 €
- Langue(s): Français
- Référence:978-2-37382-022-5
- Nombre de pages: 256
- Couleur(s): Couleur et n&b
- Type de reliure: Broché
- Dimensions: 1 × 150 × 205 mm
- Poids: 550 g
- Partenaire: Éditions du Centre Pompidou et Talan
Livre(s) conseillé(s)


